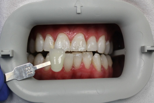
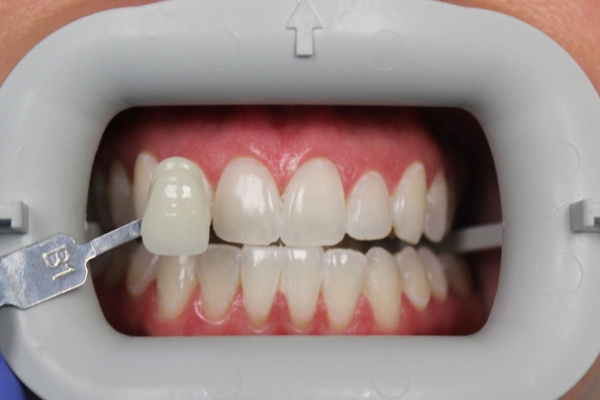
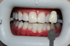
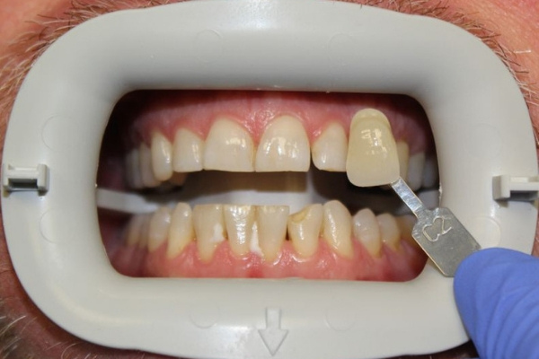
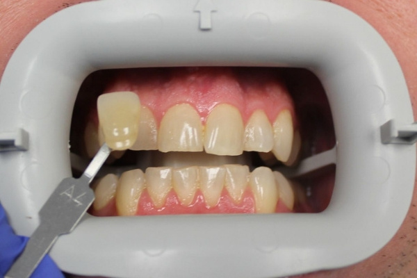
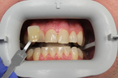
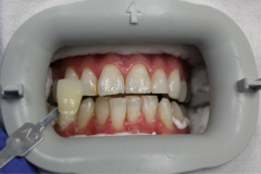
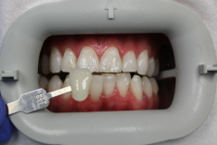
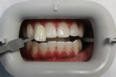
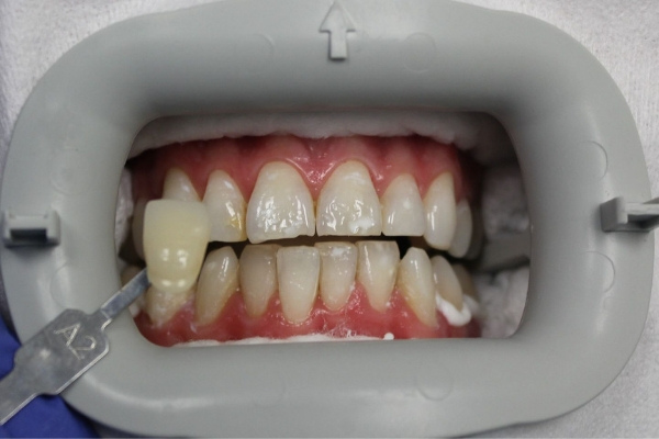
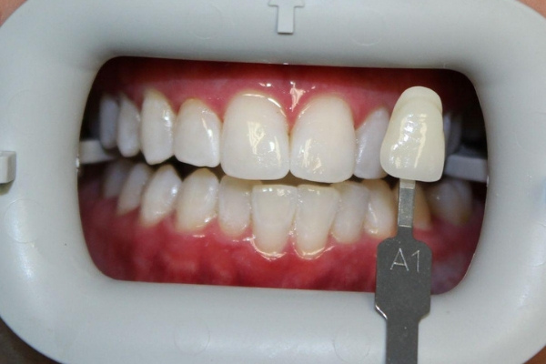
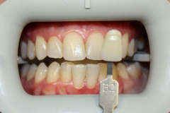
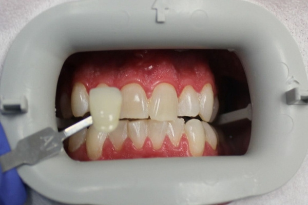
Smile Gallery

Dallas, TX Dentist

Schedule An Appointment